よちよち歩きの2歳前後
動きが活発になる小学生
部活など本格的に運動をする中学生・・・
お子様のお口のケガは絶えません。
もし歯が折れてしまったら?取れてしまったら?もしものために、事前に知識を得ておきましょう。
ある日の夕方。
買い出しに行くために、最近小走りができるようになった息子と玄関へ。
「あっ、こける!」と思った瞬間、「ゴンッ」と顔面から転側し号泣!
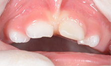
恐る恐る血まみれの口の中を見ると、『あれ!?歯がない!』
あわてて辺りを見回すと、スニーカーの横に砂が付いた歯が落ちている!
あ~どうしよう!!
突然の『外傷』こんなときどうすればよいでしょうか?
1まずは落ち着いてください。
手足の骨折や頭部のケガがないか確認しましょう。泣かずにぐったりしていたらすぐ119番へ。
2かかりつけの歯医者さんに電話。
いつもの歯医者さんが休診の場合もあります。日頃から時間外救急対応をしている病院も調べておきましょう。
冷蔵庫などに電話番号を貼っておくのが良いですね。
3歯を拾って保存。
折れた歯の破片や抜けた歯が落ちていないか確認しましょう。しばらく探して見つからない場合は仕方がありません。
見つかった場合は、タッパーやビニール袋などに歯を入れてその上から牛乳を歯全体がひたる程(1cm程)入れましょう。水分とタンパク質が必要なのです。絶対に歯を乾燥させないでください。
牛乳がない場合は、本人やお母さんの睡液でも結構です。水道水は避けましょう。このとき、歯の根は触らないようにしましょう。
歯ぐきや砂などがついていても洗わないでください。
4できるだけ早く歯科医院へ。
『すぐに泣きやんだし血も止まった』
『少し折れているけれど案外痛がっていない』
などの理由で様子を見てしまう方もいるようですが、実は傷が大きいこともあります。
軽度に思えても念のため受診しましょう。
受傷後の素早い対応で欠けた歯も治ります。






岡山ワイズのお問い合わせ先はこちら

【診療時間】AM 9:00~12:30、PM 14:00~18:00
【休診日】木曜・日曜・祝祭日